![]() |
| Encias Sanas |
Es una fibromucosa
formada por tejido conectivo denso con una cubierta de epitelio escamoso
queratinizado que cubre los procesos alveolares y rodea a los dientes.
La encía es contigua
al ligamento periodontal y, en su exterior, con los tejidos mucosos de la
cavidad oral y ayudar con el sostenimiento de los dientes.
Son visibles al
levantar los labios, su
coloración, si están sanas, es entre rosácea y rojo pálido con los dientes
firmemente sujetos.
Una higiene
inadecuada o insuficiente puede producir enfermedades peridontales, incluida la gingivitis.
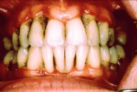
| Encías Enfermas |
La encía sana
es de color rosa pálido, varía según las personas y se relaciona con la
pigmentación cutánea.
Las personas
más morenas suelen tener la encía más oscura, la forma de la encía varía y
depende del tipo de diente, su posición en la boca, la localización y tamaño
del área de contacto entre los dientes.
Es de consistencia
variable y no deslizable, la encía puede ser dura, gruesa y con un gran número
de depresiones o bien blanda, fina y sin apenas depresiones.
Anatómicamente la encía se divide en:
Encía marginal o Libre:
Es la porción de la encía que no esta adherida al
diente.
Forma la pared blanda del surco gingival y tiene una anchura cérvico-apical de 1mm.
Forma la pared blanda del surco gingival y tiene una anchura cérvico-apical de 1mm.
Se extiende desde la cresta gingival lindante con el
limite amelocementario hacia coronal hasta una depresión lineal inconstante,
denominada surco marginal., limite que le separa de la encía adherida.
Encía Insertada o Adherida:
Es la continuación de la marginal, es firme y
elástica.
Tiene aspecto puntiforme y opaco, por lo que es
anormal verla rojiza, brillante y sin puntos.
El aspecto puntiforme se debe a que tiene fascículos de fibras colágenas que la unen al periostio y al cemento de la raíz.
El aspecto puntiforme se debe a que tiene fascículos de fibras colágenas que la unen al periostio y al cemento de la raíz.
El ancho de la encía adherida es la distancia entre la
línea que separa la encía y la mucosa oral móvil y la proyección a la
superficie externa del fondo del surco gingival o de la bolsa periodontal.
Se extiende desde el surco gingival hasta la línea
mucogingival que la separa de la mucosa alveolar.
Ancho de la encía adherida varía de 1,8 a 3.9mm y se
incrementa con la edad y la extrusión dentaria.
Encía Interdental o Papilar.
Es la porción de encía que ocupa los nichos gingivales
entre el área de contacto interdentario y la cima de las crestas alveolares.
Tiene forma triangular y puede asumir dos formas en
col y pirámide desde una perspectiva proximal.
La configuración de la encía papilar depende de las
relaciones interproximales y de la posición gingival.
La encía puede
llegar a inflamarse debido a una mala higiene dental, pudiendo afectar el
tejido gingival y en un caso más severo al hueso que sostiene los dientes.
La inflamación
de la encía consta de tres etapas:
1. Gingivitis:
en ésta primera etapa la inflamación se da por la acumulación de placa, sin
embargo el daño es reversible, ya que el hueso y el tejido conectivo aún no han
sido afectados.
2. Periodontitis: es una gingivitis avanzada, en donde el hueso y el tejido conectivo han sido dañados de forma irreversible.
3.
Periodontitis avanzada: en ésta etapa final las fibras se encuentran destruidas
al igual que el hueso que sostiene los dientes, por lo que se requiere de un
tratamiento mucho más profundo realizado por un dentista.
Detección de la
enfermedad
Pueden
presentarse problemas en la encía si se observan algunos de éstos síntomas en
la misma:
•
Enrojecimiento, inflamación o sensibilidad.
• Sangrado en
el cepillado.
• Retracción de
las encías.
• Mal aliento.



No hay comentarios:
Publicar un comentario